NEELZ ON WHEELZ

The lifes and times of NEELZ, medical professional and an avid biker, total foodie .follow on as my life unfolds and i toggle between my multiple lives or rather its facets like my medical field, my interest and love for wheels,my choice of music, and the ups and downs of it all-the daily rantings.

Friday, May 24, 2013

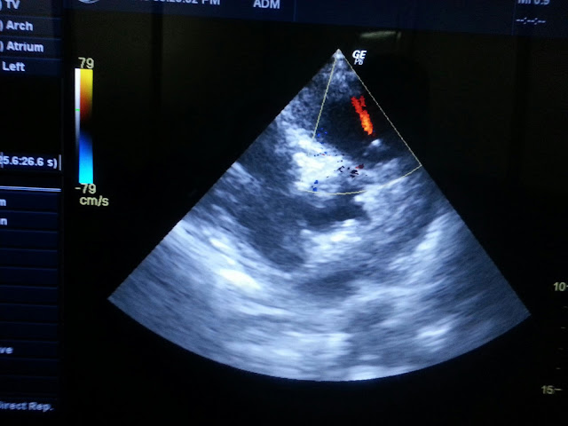
COR PULMONALE .dilated RA RV, pulmonary regurgitation tricuspid regurgitation grossly dilated RA RV

Posted by Neelzonwheelz at 7:52 PM

No comments:

Post a Comment

Newer Post Older Post Home
Subscribe to: Post Comments (Atom)

About Me

My photo
Neelzonwheelz
View my complete profile

Blog Archive

  • ►  2014 (8)
    • ►  June (1)
    • ►  March (1)
    • ►  February (1)
    • ►  January (5)
  • ▼  2013 (20)
    • ►  December (7)
    • ►  November (6)
    • ►  October (2)
    • ►  July (2)
    • ▼  May (3)
      • Canine cardiology !
      • COR PULMONALE .dilated RA RV, pulmonary regurgitat...
      • ECHOCARDIOGRAPHY MADE EASY.A LEARNERS OUTLOOK AND ...
  • ►  2008 (4)
    • ►  March (4)
Awesome Inc. theme. Powered by Blogger.